疑似病人的临床表现(新型冠状病毒肺炎疑似病例有哪些症状)
疑似病人的临床表现(新型冠状病毒肺炎疑似病例有哪些症状)
很多人忙碌惯了,这个春节突然闲下来,浑身不对劲,很多人觉得咽喉痒、胸闷、胸口发紧,测体温到37.2度就紧张,担心出现了疑似症状。
疑似病人有哪些症状?
根据一线感染科和呼吸科医生的反馈,新冠肺炎最常见的早期症状有发热(体温超过37.4度)、乏力、干咳。少部分病人还伴有鼻塞、流涕、咽喉痛和腹泻。
需要注意的是,现在正好是流感的高发季节,很多人还引发了支原体肺炎、大叶性肺炎等,儿童和青少年也不少见,不要过分紧张,及时使用敏感的抗生素就能治愈。

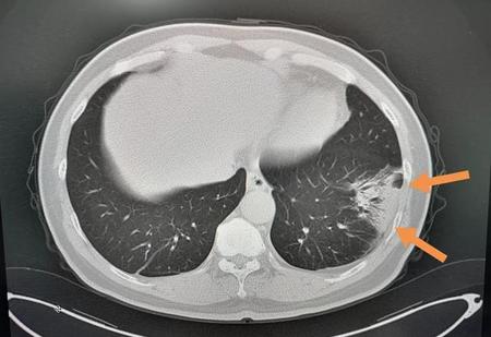
这位中年男子,咳嗽发热三天,CT发现左下肺炎,沿亚段分布,密度比较高(不是磨玻璃影),肺门侧可见支气管充气征,伴有血象增高,这就是个普通肺炎,不是冠状病毒。
经抗生素治疗,9天后明显吸收,目前已经出院了:

新型冠状病毒传染性强,隔离是最有效的预防方法
已经证实冠状病毒可以通过接触传播、空气飞沫传播和气溶胶传播,戴口罩、勤洗手可以有效预防。
气溶胶传播稍微麻烦一点,需要大家尽量减少外出活动,让空气中的含病毒的气溶胶无人可以传染,闷死病毒。离开人体的病毒,存活不了多久的。

我是影像科豪大夫,欢迎关注!
疑似病人,从名字疑似可以看出是高度怀疑,从病人的症状、体征和接触史高度怀疑为某一疾病,只是尚未获得病原学的证据不能明确诊断的人。

疑似病人有那些表现?
1、患者出现发热、没有痰或者痰比较少的干咳、乏力。
2、发热干咳乏力伴有流涕、鼻塞、咽喉部疼痛、腹泻。
3、呼吸加快,呼吸急促、呼吸困难甚至出现呼吸窘迫、烦躁不安、胸闷气短、出现嗜睡、昏睡甚至昏迷,或者出现难以治疗的呼吸困难、酸中毒或者休克。
除了这些表现,有旅游史或者周边,高危接触史,或者到过疫区,或者到过确诊患者聚集发生地,或者没有旅游史有没有高危接触史,但血常规或者胸片检查和新型冠状病毒肺炎非常像,而很像疑似病人。

而最终确诊需要检测病原核酸,如果核酸检测阳性则不是疑似,而是确诊了。
如果间隔一天的疑似病人的连续两次呼吸道病原核酸检测均为阴性,则可以排除新型冠状病毒感染。
-
- 一分钟一块钱怎么挣
-
2023-06-05 12:44:03
-
- 大男子主义什么意思,你真懂啥是大男子主义吗
-
2023-06-04 19:44:48
-
- 郑和为什么不如哥伦布影响大(郑和下西洋哥伦布航海的比较)
-
2023-06-04 19:42:42
-
- 什么是婚姻的三年之痛(为什么婚姻里会有三年之痛)
-
2023-06-04 19:40:36
-
- 缓解口腔溃疡疼痛小妙招
-
2023-06-04 19:38:29
-
- 美队2神盾局局长为什么被追杀(美国队长神盾局局长被袭击片段)
-
2023-06-04 19:36:23
-
- 杨门女将有几个人(杨门女将有哪些人物)
-
2023-06-04 19:34:17
-
- 秦岭自驾游哪里风景好(秦岭最美自驾游路线)
-
2023-06-04 19:32:11
-
- 数字台词是什么意思(数字台词小姐说的是谁)
-
2023-06-04 19:30:05
-
- 中国女演员哪个最漂亮(中国漂亮女演员排行)
-
2023-06-04 19:27:59
-
- 腌制腊八蒜用陈醋好还是用米醋好(腊八蒜到底用陈醋还是米醋)
-
2023-06-04 19:25:53
-
- 吊兰可以水养吗
-
2023-06-04 14:11:13
-
- isrc具体是什么出版物的标志
-
2023-06-04 14:09:07
-
- 12580是什么电话
-
2023-06-04 14:07:01
-
- 14点30分是什么时辰
-
2023-06-04 14:04:55
-
- 芋头和土豆的区别
-
2023-06-04 14:02:49
-
- 玉米芯的用途的功效与作用
-
2023-06-04 14:00:43
-
- 银镀金是什么意思
-
2023-06-04 13:58:37
-
- 宜将剩勇追穷寇的霸王是谁
-
2023-06-04 13:56:31
-
- 一案三制具体是指什么
-
2023-06-04 13:54:25



刘惜君到底和谁结婚了 她跟毛不易发生啥了
十大同性恋网站-同性恋网站有哪些-同性恋网站排行榜