肺结节10个人9个人有吗(网红病——肺结节)
肺结节10个人9个人有吗(网红病——肺结节)
当下肺结节患者越来越多,肺结俨然成为一个不折不扣的大网红,很多人认为肺结节属于肺癌的近亲,或者说有发展为肺癌的潜在可能性。首次发现发现肺结节的人在网上一搜索,基本十个人有九个都吓傻了。因为恐惧,所以关注,因为关注,进而走红。
很多人提到磨玻璃结节,似乎直接和肺癌挂上了勾,目前肺结节手术开展的是如火如荼,各种花式切法(楔切的、肺段切除的、肺叶切除的、一网打尽的),特别是很多肺结节切下来是良性、不典型腺瘤样增生、原位癌……上面这些结节通过随访没有变化,目前的指南和专家共识是不需要处理的。当然会有一些杠精会说,如果不切下来谁知道病理是啥?说得倒没错,但是也不能否认肺结节手术过度切除的还是非常多。
目前相对统一的共识是肺结节到了微浸润阶段需要手术切除,
那么磨玻璃结节影像学诊断为微浸润性腺癌能不能观察呢?
我想通过今天看诊的这个病例发表一些自己的看法,
不对之处请各位批评指正
,也欢迎大家在评论区讨论。
自我病史描述
巫主任,您好!
患者基本情况:女,68周岁,轻度高血压常年服药,2022.9月甲状腺叶全切手术,诊断为甲状腺乳头癌,左侧1cm外侵周边肌肉和神经,右侧微小乳头癌,没有淋巴转移。计划2022.12月做碘131治疗。
肺部情况:9年前首次发现肺结节,大夫让定期观察,之后每年做一次肺ct,今年6、7月份患者首次接种新冠肺炎疫苗2针剂,7月份患者在中医院体检时接到医院电话,提示肺部结节较以往有增大(以往近五年是0.8,今年是0.9*1.0),肺部有炎症,让进一步确诊。
2022.7.26-8.05日在中医院住院输液头孢8天消炎,8月5日高分辨率CT复查,大夫说通过高分辨CT发现磨玻璃结节上有毛刺,不太好,让到省内权威的中国医大一院复诊,8.23日中国医大一院让在本院做64排薄层ct,大夫说我母亲肺结节为多发,从这么多年看,结节发展较慢,惰性较强,可以先用拜复乐消炎,2个月后复查肺CT和CEA、NSE、肺癌7抗体的血液检查。
2022.8.26-9.06日口服12天进口拜复乐,10.21日ct复查,血液检查结果也上传到附件中。大夫复查说我母亲1cm左右大的磨玻璃结节应该是恶性的,同时还有3个小的高危结节,如果4个结节都切除,就要把整个右肺叶全切掉,考虑母亲年龄较大,担心其承受能力。如只切除较大的一个,日后复发几率高,还要二次手术。因此,怎么下手术方案是一个重大抉择。于是让再观察3个月,3个月后复查ct和CEA、NSE、肺癌7抗体的血液检查,期间可以试着吃些药物调理,10.28-11.11日口服15天国产拜复乐,口服中药调理至今。
诉求:麻烦巫主任帮忙看看我母亲是否能够确诊肺癌,如是是原位还是浸润?综合患者各方面情况看,是否需要手术,手术方案如何确定?特别感谢您,辛苦了!
弥足珍贵——
9年的影像学资料


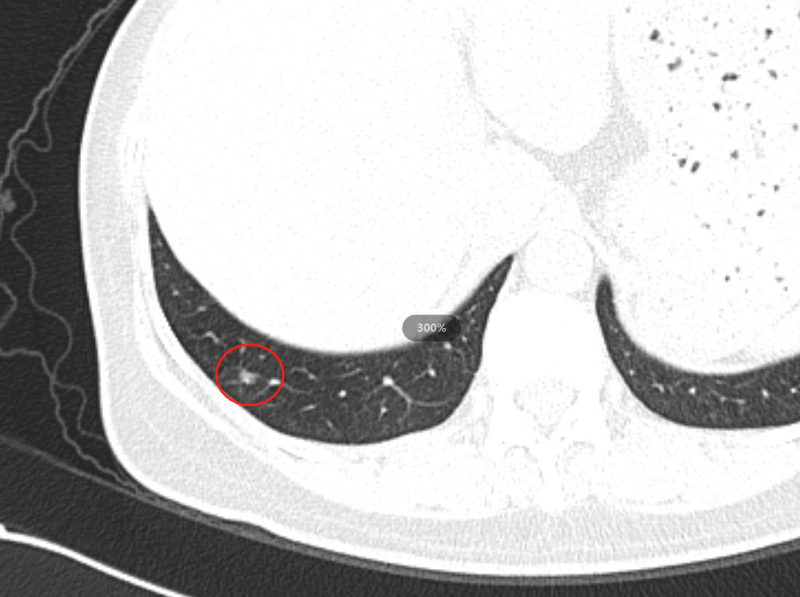
结节1:
2013年

2016年-2022年




影像学诊断:
右肺下叶背段纯磨玻璃结节,最大截面约0.9cm×0.9cm,平均CT值约-431Hu,结节呈类圆形,其中可见小空泡,病灶边界清楚,与9年前CT片比较,病灶密度、大小均无明显变化,考虑为微浸润性腺癌-浸润性腺癌,以微浸润性腺癌可能性大。
关于这个结节的一些疑问?
因为是在大群500人见证下阅片,粉丝们对这个结节提出了很多专家级的提问?
问题1:这个结节需不需要手术?
答:按照目前的各大医院对于磨玻璃结节的指征的把控,是需要手术,甚至9年前都该手术。磨玻璃结节也是现在这几年的事,更多的长期随访研究还没有出来,我们在没有证据的情况下,不能违背目前医院的共识,依据诊疗常规建议手术的。
我的思考:
目前共识对不对,只有通过时间时间去探索,我们也可以提出自己的质疑。目前已经有很多例术后微浸润的病灶,通过8-10年的观察没有发生变化的病例。所以,将来指南对磨玻璃结节病灶不发展就不手术的可能性还是有的,等时间去验证吧。
问题2:这个结节还能不能继续随访?
答:类似磨玻璃结节继续随访的证据也是有的,指南明确提出首次发现8mm以上的肺结节,按照3月-6月-9月-12月随访,如果病灶发生变化可建议手术,但是这个病灶9年没有变化,说明这个病灶属于惰性生长。前9年没有发生变化,未来9年不发生变化的可能性也是有的。指南也有明确指出等病灶发生变化再去手术。
我的思考:
在我们粉丝群近2000人的磨玻璃结节随访过程中,影像学认为可以随访的磨玻璃结节,多次复查发生倍增、发展到不可控、发生转移的病例
没有1例
。整个3-5年的随访中,只有不到10例的磨玻璃结节发生了变化,随访发生变化的概率约0.5%,并且这些发生变化的病例,均未影响到分期或者手术决策切除的范围。
问题3:这个结节有没有可能级别很低,或者是良性的?
答:概率不大!确实有部分磨玻璃结节在术前对良恶性的判断是有困难的,就是我常说到的不典型肺结节。类似结节其实是非常典型的,在清晰的肺野内发现的磨玻璃结节,呈类圆形(圆鼓鼓),密度相对较高,病灶境界清晰;并且灶周没有血管及支气管干扰,不是奇形怪状的,周边没有索条或者长毛刺,邻近未见卫星灶,再结合抗炎治疗或者随访过程中没有机化,属于早期肺癌的可能性非常之大。
问题4:来自主人公的提问?详细情况,可以看下面的聊天记录

问题5:请巫医生给我做个决定?
答:非要给做一个决定,个人建议:半年复查一次。
做最后的这个决定,一定不是我信口开河的,在我们群里有一个多发磨玻璃结节的患者,大概有99枚磨玻璃结节,因为分布在肺内各叶,位置深浅不一,其中有多枚病灶被多为医生诊断为浸润性腺癌,但是处于手术难度非常大,观察了5年,并没有发生危险的变化。这个结节观察了9年,半年一次随访还是没有非常高的风险的。
问题6:医生说除了这个结节,还有4个风险结节,需要切除肺叶吗?
答:这个问题可以肯定告诉你,不需要!最多顺便切除下面这个诊断疑难的结节。两个楔形切除足矣。
这个结节诊断还是有难度的↓
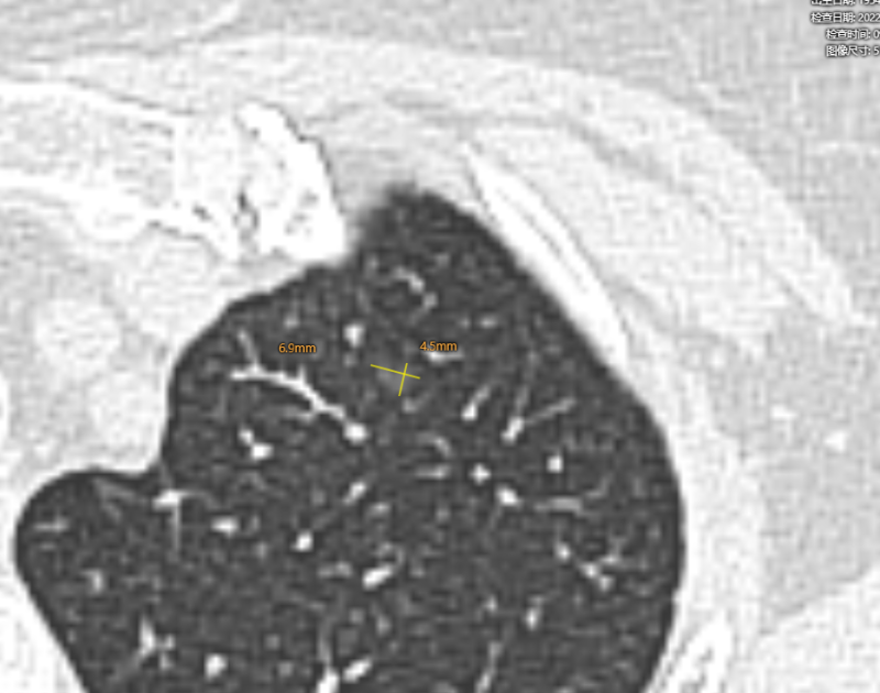
结节2


2013年↓

诊断:这个结节是一个混杂密度结节,大部分以实性成分为主,周边可见毛刺及分析,由于病灶非常小,如果首次发现还是要小心,但是通过以下多次的随访和复查,我们考虑良性纤维灶的概率更高。
但是由于这个结节位于外周带,非常容易切除,因为和主病灶是同侧,所以这个结节,我么可以考虑一次处理掉。
其余结节:
本次阅片我们用了2个多小时进行了比较:其余结节通过9年的比较,均未见明显高风险,手术可以不用处理。
1.新增磨玻璃样斑片灶,无风险,炎性可能性大。

2.左下肺磨玻璃结节,最大径约7mm,纯磨玻璃,CT值超过-700+Hu,考虑为不典型腺瘤样增生,这个结节大概率终生不会发生变化。



3.这个病灶同上午任何风险。


4.多少年未变化的纯磨玻璃结节,大概率终生不会变化


最后我们还对患者30余枚肺结节做了相应的比较,不一一赘述,均无明显高风险因素。


这位朋友的诊断及沟通信息绝不止这些,通过两个小时的交流,我们对肺内病灶9年的变化有很多认识很认知。
最后需要再重复的是:
观察9年的高危磨玻璃结节,并且多位医生通过影像学判断为微浸润起步,通过随访没有发生任何变化是不是该给同行带来一些启发呢?我的看法已经在上述文字中阐明。那么对于影像学诊断更为级别低的肺结节患者来说,是不是我们更应该减少焦虑呢?我想通过一些年的积累,同我我对肺结节大量病例的随访,在将来一定会提出一些确切的依据和证据。
-
- qq空间首页设计(网页设计空间设计教程)
-
2024-01-23 04:17:41
-
- 膨胀水箱设计(膨胀水箱设计规范)
-
2024-01-23 04:15:35
-
- 腊梅花(腊梅花怎么养家庭养法)
-
2024-01-23 04:13:29
-
- 韩国人口多少亿人2022(韩国首次人口负增长意味着什么?)
-
2024-01-23 04:11:24
-
- SKYWORTH什么牌子(创维造汽车,越造越精神?)
-
2024-01-23 04:09:18
-
- qq飞车刷级(飞车刷级女装)
-
2024-01-23 04:07:12
-
- 男人放进女人阳道入口多深算正常(【正经科普】女性私处,你知道有多深?到底会
-
2024-01-23 04:05:06
-
- 四大名楼(四大美男、四大名楼、四大美女:72个中国文化常识,给孩子收藏好)
-
2024-01-23 04:03:00
-
- 明治维新时间(明治维新的内容和影响)
-
2024-01-22 17:49:01
-
- 怎样梳头(怎样梳头养生)
-
2024-01-22 17:46:56
-
- 怎么瘦下巴(怎么瘦下巴最快方法)
-
2024-01-22 17:44:51
-
- 美金兑卢布(美金兑卢布多少钱)
-
2024-01-22 17:42:47
-
- 广告词(100条朗朗上口的经典广告词)
-
2024-01-22 17:40:42
-
- 虿盆(虿盆之刑)
-
2024-01-22 17:38:37
-
- 沈阳著名景点(沈阳著名景点名胜)
-
2024-01-22 17:36:32
-
- dnf进不去怎么办(dnf界面进不去)
-
2024-01-22 17:34:27
-
- 北京卫视私人定制(北京卫视私人定制天国守望者)
-
2024-01-22 17:32:22
-
- qq钱包查询(钱包查询在哪里打开)
-
2024-01-22 17:30:18
-
- 三十六式(少林36式擒拿手,锁喉旋颈翻身捆,扛肩扭腿挫手臂,厉害的格斗术)
-
2024-01-22 03:07:04
-
- 酵母菌的结构(酵母菌的结构模式图)
-
2024-01-22 03:04:59



刘惜君到底和谁结婚了 她跟毛不易发生啥了
十大同性恋网站-同性恋网站有哪些-同性恋网站排行榜